Здоровье

Кировский центр онкологии вошел в число лучших профильных учреждений России

Кировский центр онкологии вошел в число лучших профильных учреждений России

В России, начиная с 2017 года, награждают медицинские учреждения, медиков, волонтеров и благотворительные организации за вклад в борьбу против рака.

Акция «Я выбираю здоровье»

Акция «Я выбираю здоровье»

Ежегодно 4 февраля в мире отмечается Всемирный день борьбы с раком. В этот день Кировская городская больница №2 провела акцию «Я выбираю здоровье» в торговом центре Green Haus,

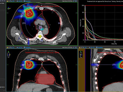
В Кировской области внедрили инновационный метод лечения рака

В Кировской области внедрили инновационный метод лечения рака

В Кировской области внедрили передовой подход к лечению онкологических заболеваний.

В Кировской области расширяются возможности специализированной помощи при сердечно-сосудистых патологиях

В Кировской области расширяются возможности специализированной помощи при сердечно-сосудистых патологиях

Отделение кардиохирургии Кировской областной клинической больницы непрерывно увеличивает объемы и виды медицинской помощи, отмечают в региональном правительстве.

В Омутнинской центральной районной больнице планируют рекордную поставку медтехники

В Омутнинской центральной районной больнице планируют рекордную поставку медтехники

В этом году в Омутнинской центральной районной больнице планируется поставка рекордного количества медтехники – 26 единиц.

Стереотаксическая терапия: в онкоцентре Кирова внедрён инновационный метод лечения

Стереотаксическая терапия: в онкоцентре Кирова внедрён инновационный метод лечения

В рамках национального проекта «Здравоохранение» Центр оснащен четырьмя современными линейными ускорителями, обеспечивающими радиотерапию.

В Центре онкологии Кирова начали применять новый инновационный метод лечения

В Центре онкологии Кирова начали применять новый инновационный метод лечения

Новости Кирова и Кировской области 2 февраля.  В кировском Центре онкологии внедрили инновационный метод лечения.

Зима вернется в Киров: какой будет погода в городе 3-5 февраля

Зима вернется в Киров: какой будет погода в городе 3-5 февраля

О погоде на ближайшие три дня: 3, 4 и 5 февраля рассказали в  официальной группе  Кировского Центра по гидрометеорологии и мониторингу окружающей среды.

Кировчан приглашают бесплатно проверить здоровье во Всемирный день борьбы против рака

Кировчан приглашают бесплатно проверить здоровье во Всемирный день борьбы против рака

Всемирный день борьбы против рака в 2025 году отмечается 4 февраля. Кировская область поддержит эту дату акцией «Я выбираю здоровье»,

ПРОФИЛАКТИЧЕСКИЙ КВИЗ В ВЯТСКОМ ЖЕЛЕЗНОДОРОЖНОМ ТЕХНИКУМЕ

ПРОФИЛАКТИЧЕСКИЙ КВИЗ В ВЯТСКОМ ЖЕЛЕЗНОДОРОЖНОМ ТЕХНИКУМЕ

С 27 января по 2 февраля Минздравом России объявлена Неделя профилактики употребления наркотических средств.